Skip to content Skip to sidebar Skip to footer

Como Reventar Un Absceso

Como Curar Un Absceso Saludalia Com

Como Curar Un Absceso Saludalia Com

Como reventar un absceso. Un absceso es una colección de pusEl pus es un fluido espeso que habitualmente contiene glóbulos blancos tejido necrótico y gérmenes. Déjala actuar durante la noche y cepíllate como de costumbre. Como reventar un flemon.

Cuándo drenar un absceso. En un recipiente mezcla la sal con el bicarbonato de sodio. Pueden surgir en la piel de cualquier.

Cómo librarte de un absceso. 1 vaso de agua 200 ml. Aceite de árbol de té Ingredientes.

Si sientes dolor en las piezas. Los abscesos se pueden desarrollar en la capa más superficial de la piel debajo de la piel en un diente o incluso en lo más profundo del cuerpo. Ej estridor voz apagada.

Suelen aparecer en los tejidos blandos localizados junto a un diente o una muela cuya raíz ha quedado afectada por una infección que no encuentra salida. Se trata de unas pequeñas bolsas de pus causadas por una infección de origen bacteriano. Un absceso gingival también llamado absceso periodontal que suele ser causado por una infección en el espacio entre el diente y la encía.

Cuando nuestro sistema inmune detecta la presencia de una infección envía un gran número de glóbulos blancos para detenerla. Absceso de grasa en el ojo. Su causa más frecuente es de origen bacterianoLa infección provoca una reacción inmunológica que activa los glóbulos blancos y otras sustancias químicas cuya función es luchar contra la bacteria.

Un flemón dental es el nombre coloquial que recibe un absceso dental. Los abscesos o forúnculos son acumulaciones de pus inflamadas que causan dolor y se deben a una infección bacteriana.

Drenaje De Absceso Youtube

Drenaje De Absceso Youtube

Biodescodificacion De Los Abscesos Reconexion Ancestral

Biodescodificacion De Los Abscesos Reconexion Ancestral

Absceso Kronosalud

Absceso Kronosalud

Drenaje De Forunculo Grano Gigante Youtube

Drenaje De Forunculo Grano Gigante Youtube

Como Librarte De Un Absceso 12 Pasos Con Imagenes

Como Librarte De Un Absceso 12 Pasos Con Imagenes

Absceso Mamario Subareolar Causas Sintomas Y Diagnostico

Absceso Mamario Subareolar Causas Sintomas Y Diagnostico

Remedios Caseros Para Los Forunculos 7 Pasos

Remedios Caseros Para Los Forunculos 7 Pasos

Absceso Dental Middlesex Health

Absceso Dental Middlesex Health

Que Es Sinus Pilonidal Y Como Tratarlo Instituto Quirurgico De Andalucia Iqa

Que Es Sinus Pilonidal Y Como Tratarlo Instituto Quirurgico De Andalucia Iqa

Incision Y Drenaje De Un Absceso Cutaneo Western New York Urology Associates Llc

Incision Y Drenaje De Un Absceso Cutaneo Western New York Urology Associates Llc

Drenaje Periapical De Absceso Youtube

Drenaje Periapical De Absceso Youtube

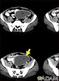
Absceso En Abdomen O Pelvis

Absceso En Abdomen O Pelvis

Remedios Caseros Para Los Forunculos 7 Pasos

Remedios Caseros Para Los Forunculos 7 Pasos

Que Es Sinus Pilonidal Y Como Tratarlo Instituto Quirurgico De Andalucia Iqa

Que Es Sinus Pilonidal Y Como Tratarlo Instituto Quirurgico De Andalucia Iqa

Tratamiento De La Bartolinitis

Tratamiento De La Bartolinitis

Flemon Dental O Absceso Que Es Y Cual Es El Tratamiento

Flemon Dental O Absceso Que Es Y Cual Es El Tratamiento

El Absceso Dental Que Es Un Flemon Y Como Se Cura La Infeccion Con Pus C Youtube

El Absceso Dental Que Es Un Flemon Y Como Se Cura La Infeccion Con Pus C Youtube

10 Remedios Caseros Para Curar El Flemon O Absceso Dental

10 Remedios Caseros Para Curar El Flemon O Absceso Dental

Absceso Perianal Sintomas Y Tratamiento Canalsalud

Absceso Perianal Sintomas Y Tratamiento Canalsalud

Absceso Anal Y La Fistula Ascrs

Absceso Anal Y La Fistula Ascrs

Abscesos Y Flemones Que Es Sintomas Y Tratamiento Top Doctors

Abscesos Y Flemones Que Es Sintomas Y Tratamiento Top Doctors

Biodescodificacion De Los Abscesos Reconexion Ancestral

Biodescodificacion De Los Abscesos Reconexion Ancestral

Cuando Recurrir A La Cirugia Para Tratar Un Forunculo

Cuando Recurrir A La Cirugia Para Tratar Un Forunculo

1

1

Remedios Caseros Para Un Absceso Dental Aliviar Infeccion En La Raiz Del Diente Por Completo Youtube

Remedios Caseros Para Un Absceso Dental Aliviar Infeccion En La Raiz Del Diente Por Completo Youtube

Readers Ask Como Drenar Un Flemon En Casa Alquiler De Autocaravas En Malaga

Readers Ask Como Drenar Un Flemon En Casa Alquiler De Autocaravas En Malaga

Todo Sobre Los Abscesos En Perros Causas Y Tratamiento

Todo Sobre Los Abscesos En Perros Causas Y Tratamiento

2

2

Lala Ahundova Pagina Inicial Facebook

Lala Ahundova Pagina Inicial Facebook

Infecciones De La Herida Quirurgica

Infecciones De La Herida Quirurgica

Como Bajar Un Flemon Rapidamente Clinica Cristina Viyuela

Como Bajar Un Flemon Rapidamente Clinica Cristina Viyuela

Abscesos Cutaneos Doctor Alvaro Bueno

Abscesos Cutaneos Doctor Alvaro Bueno

Absceso En Abdomen O Pelvis

Absceso En Abdomen O Pelvis

Como Drenar Un Absceso En Casa Paso A Paso

Como Drenar Un Absceso En Casa Paso A Paso

Remedios Naturales Para Aplicar A Los Abscesos

Remedios Naturales Para Aplicar A Los Abscesos

Remedios Caseros Y Como Desinflamar Un Absceso Dental

Remedios Caseros Y Como Desinflamar Un Absceso Dental

10 Remedios Caseros Para Curar El Flemon O Absceso Dental

10 Remedios Caseros Para Curar El Flemon O Absceso Dental

Absceso Intraabdominal Wikipedia La Enciclopedia Libre

Absceso Intraabdominal Wikipedia La Enciclopedia Libre

Urgencia Dental Como Actuar Ante Un Absceso Dental

Urgencia Dental Como Actuar Ante Un Absceso Dental

Absceso Perianal Sintomas Y Tratamiento Canalsalud

Absceso Perianal Sintomas Y Tratamiento Canalsalud

Isso E Uma Urgencia Mas Atelier Clinica Odontologica

Isso E Uma Urgencia Mas Atelier Clinica Odontologica

Tratamientos Para El Absceso Perianal Dosfarma

Tratamientos Para El Absceso Perianal Dosfarma

Glandulas Anales De Los Perros Todo Lo Que Necesitas Saber

Glandulas Anales De Los Perros Todo Lo Que Necesitas Saber

Abscesos Intraabdominales Trastornos Gastrointestinales Manual Msd Version Para Profesionales

Abscesos Intraabdominales Trastornos Gastrointestinales Manual Msd Version Para Profesionales

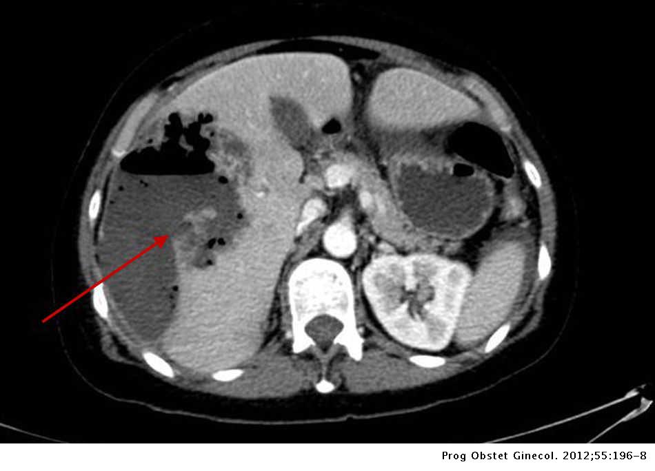
Absceso Hepatico Roto En Portadora De Dispositivo Intrauterino Progresos De Obstetricia Y Ginecologia

Absceso Hepatico Roto En Portadora De Dispositivo Intrauterino Progresos De Obstetricia Y Ginecologia

Absceso Dental Que Es Como Se Trara Y Remedios Caseros Dalydent

Absceso Dental Que Es Como Se Trara Y Remedios Caseros Dalydent

Absceso Dental Consecuencias De No Atenderlo A Tiempo

Absceso Dental Consecuencias De No Atenderlo A Tiempo

Como Drenar Un Absceso Dentaltvweb

Como Drenar Un Absceso Dentaltvweb

1

1

Absceso o celulitis periodontal o periapical es decir que comenzó como un absceso periapical Contraindicaciones Signos de infección que se propaga rápidamente p.

La función de este sistema consiste precisamente es estar pendiente de cualquier infección. Un absceso es una colección de pusEl pus es un fluido espeso que habitualmente contiene glóbulos blancos tejido necrótico y gérmenes. Los gérmenes no forman parte de un cuerpo sano y el sistema inmunitario lo sabe. Un absceso gingival también llamado absceso periodontal que suele ser causado por una infección en el espacio entre el diente y la encía. Por otro lado también es importante que el absceso a drenar sea superficial de lo contrario la posibilidad de complicaciones es mayor al tratar zonas por las que atraviesan vasos o nervios importantes. Colocar un pedazo de cebolla o hacer gárgaras con una infusión como ésta ayudará a curar el flemón pues la cebolla posee propiedades bactericidas. 1 vaso de agua 200 ml. Se deben drenar los abscesos acompañados de dolor significativo sensibilidad a la palpación e hinchazón y proporcionar una analgesia adecuada y cuando esté indicado sedación. Su causa más frecuente es de origen bacterianoLa infección provoca una reacción inmunológica que activa los glóbulos blancos y otras sustancias químicas cuya función es luchar contra la bacteria.


Se deben drenar los abscesos acompañados de dolor significativo sensibilidad a la palpación e hinchazón y proporcionar una analgesia adecuada y cuando esté indicado sedación. Un absceso puede drenarse en casa siempre y cuando se den todas las condiciones de higiene necesarias algo fundamental para no empeorar la infección. Un absceso en el dedo cerca de la uña - tratamiento y prevención las causas frecuentes de abscesos Nuestras manos entran diariamente en contacto con multitud de objetos y líquidos. Por ejemplo un absceso en la piel puede aparecer cuando entran gérmenes al cuerpo a través de una abertura en la piel como un corte una picadura de insecto o una quemadura. En pocas palabras el absceso dental también conocido como flemón es una infección que se origina en las encías o raíz del diente cuyo desarrollo provoca la acumulación de pus y un dolor insoportableA medida que las bacterias se multiplican expanden la infección hasta el hueso que soporta el diente de ahí que recibir tratamiento oportuno sea tan. Para esto los glóbulos blancos se acumulan en la infección junto a otros líquidos tejidos muertos y materiales de desecho. Si sientes dolor en las piezas.

Post a Comment for "Como Reventar Un Absceso"